
口腔機能発達不全症とは「食べる機能」、「話す機能」、「その他の機能」が十分に発達していないか、正常に機能獲得ができておらず、明らかな摂食機能障害の原因疾患がなく、口腔機能の定型発達において個人因子あるいは環境因子に専門的な関与が必要な状態のことをいう。
口腔機能発達不全症の評価と管理・指導の基本的な流れ
- 1 「口腔機能発達不全症」チェックリスト(離乳完了前)
-

※「上記以外の問題点」とは口腔機能発達評価マニュアルのステージ別チェックリストの該当する項目がある場合に記入する。
- 2 「口腔機能発達不全症」チェックリスト(離乳完了後)
-

※「上記以外の問題点」とは口腔機能発達評価マニュアルのステージ別チェックリストの該当する項目がある場合に記入する。
チェックリスト1、2の機能Aにおける「食べる機能」、「話す機能」の項目(C)において2つ以上の該当項目があるものを「口腔機能発達不全症」と診断する。なお、離乳完了前においてはC-1~C-8を、離乳完了後においてはC-1~C-6の項目を1つ含むこととする。
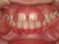
症例
機能的因子(口腔習癖や口呼吸、機能的顎偏位など)による歯列・咬合に異常がある。
だ液を飲み込むときに前歯を押している
いつも上下の歯の間に舌をいれている
唇をいつも咬んでいると、上の前歯が前突になり、下の前歯は唇が中に入り込むことによって叢生になりやすい
吸指癖による開咬
同じ向きでうつ伏せ寝が原因と考えられる交叉咬合

これらのように、癖による歯列・かみ合わせの異常はまずは原因の除去を行います。
(舌を前に出さない、唇を咬まない、指を吸わない、うつ伏せで寝ないなど)合わせて、口腔機能の育成のために、口を閉じる、舌の位置を正しいポジションにする指導が必要です。
A:歯列に対して内側に位置する舌の力と、外側に位置する頬からの力のバランスがしっかりとれている状態。
B:舌や頬からの力のバランスが取れていない状態。
図Aのように、それぞれがバランスの取れた場所に位置することにより歯列を維持し、また飲み込むときの舌の位置は上あごを押します。飲み込む瞬間に舌が前歯を押すのは、乳児型嚥下という異常嚥下です。
C:口元は常に閉鎖し、舌の位置も正しい。歯列に対し、余分な力がかかっていない状態。
D:唇が開いたまま、舌は常に低位にあり、嚥下の度に前歯に力がかかっているため、歯牙の位置にも問題を生じている状態。
図Cのような舌の位置にするためのトレーニングを行って、正常な機能育成を促します。
口唇閉鎖、舌位のトレーニング
唇の力を(口輪筋)つけるために、風船や吹き戻し、飲み込む際の舌の位置を指導する方法
手を使わずに、膨らませる。唇の力で風船を把持し、鼻呼吸で風船に空気を入れる。
少し離れたところから息を吹く。唇をラッパ型にして目指すところに息を吹くことによって、唇の力をつけ、息の調整を行う。
吹く練習をすることで、話す機能を育てるトレーニングを行う。
ガムトレーニング
咬む・飲み込むという機能に重要なのは唇を閉じることと舌の位置。ガムトレーニングで楽しく、
舌の位置と筋肉の動きを確認しながら、しっかり咬む筋肉を育てましょう。
最初に咬みはじめたのは、右側・左側(〇をつける)
同じ側で咬んでいることに気付いたら、均等に咬むことを意識する。
ガム表面のざらざら感がなくなったら、こめかみ(側頭筋の動きを確認)に手を当てたまま右側で10回しっかり咬む。左にガムを移動して同じように10回咬む。

を
3~5セット行う。- どの筋肉が動いているか意識する。必ず口を閉じて行う。
ほほに手を当て咬筋の動きを確認、右側で10回しっかり咬む。左にガムを移動して同じように10回咬む。ガムを前歯に移動し、前歯で10回咬む。(この時は手は添えなくてもよい)
舌の上に丸める。
いつも舌が上あごに位置するように習慣付ける。このようなトレーニングにより、顎の形もよくなったり、噛み合わせの変化が見られる。
を
5回繰り返す
トレーニングの効果
偏側咬みの子に左右均等に咬むことを意識してもらった。
トレーニング後
片側で咬んでいない子にガムトレを行った。
永久歯がはえる頃にはしっかり咬むようになった。
舌が嚥下時にいつも前歯を押すので上下前歯がフレアーアウトし前歯に隙間が出来ていた。
ガムの吸い上げ(ガムを上顎に押し付けるトレーニング)を行うと、前歯の隙間もなくなり噛み合わせが安定した。
それ以外にもガムを噛むことで、
様々な効果が期待できます。
- ・リラックス効果による噛みしめ(TCH)の予防
TCHにより13歳でも下顎骨隆起が見られることがある。
右上第一大臼歯にクラック(15歳)
痛みが強く、歯髄処置が必要だった。 - ・だ液の分泌が増える
- ・清掃効果がある
監修 大串 博
歯科医師臨床研修指導医
日本歯周病学会 専門医
日本口腔インプラント学会専門医
日本臨床歯周病学会 歯周病指導医・認定医 ・歯周インプラント指導医
日本顎咬合学会 認定医
日本アンチエイジング歯科学会認定医
日本歯科医師会認定産業歯科医
インビザラインダイヤモンドドクター
日本審美歯科学会会員
日本血液学会会員
点滴療法研究会会員 高濃度ビタミンC点滴療法認定医
日本歯科医師会会員
「鬼手仏心」
歯科医になった時からの座右の銘です。
生涯常に研修・精進、メスを置くまで終わりのない道を登り続けます。






![口腔機能発達不全症 *¹カウプ指数(6歳未満の幼児)<br>[体重(g)/身長(cm)²]×10 ) カウプ指数](https://www.dental-plaza.com/article/pediatrics/img/conte05_img03.png)
![口腔機能発達不全症 *²ローレル指数(6歳以上の学童)<br>[体重(g)/身長(cm)³]×10⁴ ) ローレル指数](https://www.dental-plaza.com/article/pediatrics/img/conte05_img04.png)

A:歯列に対して内側に位置する舌の力と、外側に位置する頬からの力のバランスがしっかりとれている状態。
B:舌や頬からの力のバランスが取れていない状態。
C:口元は常に閉鎖し、舌の位置も正しい。歯列に対し、余分な力がかかっていない状態。
D:唇が開いたまま、舌は常に低位にあり、嚥下の度に前歯に力がかかっているため、歯牙の位置にも問題を生じている状態。
を
偏側咬みの子に左右均等に咬むことを意識してもらった。
トレーニング後
片側で咬んでいない子にガムトレを行った。
永久歯がはえる頃にはしっかり咬むようになった。
舌が嚥下時にいつも前歯を押すので上下前歯がフレアーアウトし前歯に隙間が出来ていた。
ガムの吸い上げ(ガムを上顎に押し付けるトレーニング)を行うと、前歯の隙間もなくなり噛み合わせが安定した。
TCHにより13歳でも下顎骨隆起が見られることがある。
右上第一大臼歯にクラック(15歳)
コメント